Histopatología de las laringitis crónicas (Neoplasia Intraepitelial Laríngea, NIL)

Neoplasia intraepitelial tipo 1. Paraqueratosis superficial. Epitelio neoplásico en el 1/3 inferior
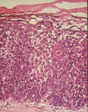
Neoplasia intraepitelial tipo 2. Ortoqueratosis superficial. Epitelio neoplásico en los 2/3 inferiores
Neoplasia intraepitelial tipo 3. Disqueratosis y paraqueratosis. Epitelio neoplásico en todo el espesor